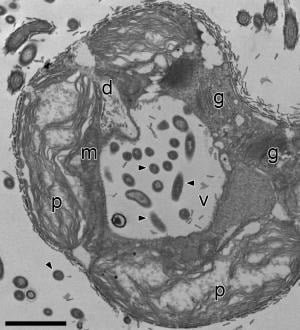
EEUU.- Un equipo de investigadores han capturado imágenes de una microalga verde consumiendo bacterias, ofreciendo un panorama sobre como los primeros organismos de hace un billón de años adquirieron las primeras células fotosintéticas. Esta adquisición es el primer paso crítico en la evolución de las microalgas fotosintéticas y las plantas terrestres.
En un informe científico que aparecerá publicado el 17 de junio en la revista Current Biology y esta disponible online desde hoy, los científicos identificaron un mecanismo por el cual una microalga verde, que se asemeja a sus primeros ancestros del grupo, engulle bacterias, proveyendo evidencia concluyente.
“Este comportamiento ha sido previamente sugerido pero no teníamos evidencia microscópica clara hasta este estudio” dijo Eunsoo Kim, asistente en la Division of Invertebrate Zology del American Museum of Natural History. “Estos resultados ofrecen importantes señales de un evento evolutivo que fundamentalmente cambia la trayectoria de la evolución, no sólo de las microalgas fotosintéticas y plantas terrestres, también de los animales”.
En las microalgas verdes y plantas terrestres, la fotosíntesis, o la conversión de luz en alimento, es realizada por estructuras especializadas conocidas como cloroplastos. El origen de los cloroplastos esta relacionada a la endosimbiosis, un proceso en el cual una célula eucariota captura una cianobacteria fotosintética pero no la digiere, permitiendo que la célula fotosintética eventualmente se convierta en un cloroplasto. Los mecanismos específicos de alimentación para este proceso, sin embargo, han permanecido desconocidos hasta ahora.
En este estudio, los investigadores usaron microscopia de transmisión de electrones y experimentos de alimentos para tomar imágenes concluyentes de como una microalgas verde del genero Cymbomonas se alimenta de las bacterias.
Mayor información: http://www.cell.com/current-biology/home
Editor de la revista digital AquaHoy. Biólogo Acuicultor titulado por la Universidad Nacional del Santa (UNS) y Máster en Gestión de la Ciencia y la Innovación por la Universidad Politécnica de Valencia, con diplomados en Innovación Empresarial y Gestión de la Innovación. Posee amplia experiencia en el sector acuícola y pesquero, habiendo liderado la Unidad de Innovación en Pesca del Programa Nacional de Innovación en Pesca y Acuicultura (PNIPA). Ha sido consultor senior en vigilancia tecnológica, formulador y asesor de proyectos de innovación, y docente en la UNS. Es miembro del Colegio de Biólogos del Perú y ha sido reconocido por la World Aquaculture Society (WAS) en 2016 por su aporte a la acuicultura.








